什么是動態DR?動態DR是一款多項功能復合的DR,具有多功能數字化透視攝影系統,同時具備數字化攝影、數字化透視、數字化胃腸、數字化造影等功能。它滿足各類臨床應用,全面兼顧骨關節、呼吸、消化及生殖泌尿臨床檢查,以及透視下定位、透視下穿刺等介入放射影像成像等檢查。
動態DR解決了以往傳統DR的靜態盲拍模式,可以對特殊病灶部位進行高速實時點片,捕獲高清病灶圖,降低了漏診誤診率。特別是對不能配合的患者,也能進行快速高效的檢查,大大減輕了患者的痛苦。

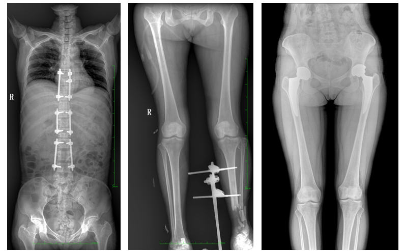
普愛醫療自主研發,專為大視野臨床應用打造的平板動態DR——PLX8600,圖像不拼接,有效簡化影像科室檢查流程,提高診斷精度,降低患者吸收的輻射劑量。與市面常規多張攝影再軟件拼接DR相比,PLX8600解決了拼接圖像存在密度不均勻,拼接處圖像配準和放大效應等問題,輻射劑量是常規長骨軟件拼接DR的1/2或1/3,給患者更多關愛。
PLX8600大視野平板動態DR功能特點:
一、成像面積大。17"*34"有效視野,一次成像不拼接。相較于多張攝影再軟件拼接的DR設備,PLX8600解決了拼接圖像存在密度不均勻,拼接處圖像配準和放大效應等問題,給臨床帶來了大視野影像解決方案,可一次性覆蓋全脊柱或雙下肢影像。
PLX8600大視野平板動態DR攝影速度快,患者可以更快地完成檢查,且單次攝影輻射劑量是常規多張攝影再軟件拼接DR的1/2或1/3,低劑量給患者更多關愛。
二、消除盲拍。除常規靜態攝影外,PLX8600大視野平板動態DR具備動態透視和點片功能,透視采集功能可支持大視野、多角度的可視化觀察。通過可視化的動態影像,配合點片功能,能夠很好的觀察復雜部位病灶,有效的抓取關鍵幀,降低患者多次攝片的概率,安全又高效。
如:全脊柱狀態評估、長骨關節活動度、下肢靜脈造影瓣膜功能評估、消化道功能評估、脊髓造影等更多大視野臨床應用,多面手給醫生更多驚喜。

PLX8600大視野平板動態DR可在低輻射劑量下獲得患者站立位、臥位的高質量影像。搭載自主研發的圖像均衡處理系統,能夠很好的均衡人體不同厚度組織的影像,視野大,圖像清晰,層次豐富。如果您想采購這款產品,歡迎聯系我們,咨詢電話400-025-6366。


