脊柱側彎在臨床上指的是脊柱一個或數個節段在冠狀面上偏離身體中線,并向側方彎曲的情況,此種情況的存在會導致脊柱畸形的情況。醫學研究認為,脊柱側彎多見于頸椎、胸椎等部位,同時也可能單獨發生于人體的腰背部。臨床研究表明,脊柱側彎多見于青少年群體,且近年來成年人的發病率也呈現出增加的趨勢。而在脊柱側彎發生后,臨床需要及時進行治療干預,以避免其對身體健康造成影響。
臨床對于脊柱側彎患者的治療有手術治療和非手術治療兩種方式,手術治療的施行標準為Cobb角40°以及一些非手術治療效果不甚理想的患者。在治療脊柱側彎患者的過程中,精準的診斷是至關重要的,臨床常用的診斷方式有CT診斷以及MRI檢查等。但是由于這些診斷方式的檢查體位均為仰臥位,所以難以明確脊柱受壓過程中其變化情況,導致檢查結果不夠精準。而相比于,CT診斷和MRI檢查, DR在治療的過程中,采取的是站立位檢查體位,對脊柱變化情況影響較小,具有更加精準的檢查結果,因此能夠為后續的診斷和治療帶來方便。

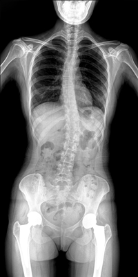
臨床需要對患者的脊柱情況有全面了解,故而術前術后均需要均需要借助DR拍攝X光片便于分析病情、明確診斷及術后觀察治療效果。大視野動態DR可以對患者的脊柱進行長尺寸攝影,一次拍攝就能獲取完整的脊柱全景圖像。診斷醫生通過拍攝后的影像測量全脊柱的生物角度、Cobb角等,為脊柱側彎的畸形矯正患者術前術后的檢查提供重要的診斷依據。
通過大視野動態DR進行全脊柱攝片,其得到的影像密度均勻、清晰、接緣處過渡自然。且操作更加便捷,不需要二次攝片然后進行圖像拼接,拍攝時間短,效率高。在減少輻射劑量的同時也能為臨床醫生帶來更精確的診斷信息。非拼接影像可保證雙腿測量(如力線)數據的準確性,有效避免攝影信息的丟失。給手術醫生提供準確的術前診斷數據,提高手術成功率。

綜上所述,大視野動態DR進行全脊柱成像能夠清晰的呈現骨關節結構,可以在全景脊柱圖像基礎上對角度值進行測量,能夠很好的反映骨骼的真實比例與長度,為臨床診斷和治療提供了更精確的數據,有著重要臨床應用價值。


