數字X射線成像(DR)是目前主流的X光檢查方法,它具有成像快捷、存儲方便、便于圖像后處理等諸多優勢,已經逐漸取代傳統X光機。但是在實際應用中,DR的圖像質量還存在著一些問題,比如圖像對比度不強、圖像不清晰、噪聲過明顯、圖像亮度不對稱等。一旦DR設備的圖像質量差,可能會造成漏診、誤診,或者因劑量不當對檢查者機體造成損傷,因此保證DR圖像質量應當是重中之重。
到底是哪些因素會影響DR圖像質量呢?普愛醫療歸納了以下幾大因素。
DQE
DR中各種探測器的圖像質量是用分辨率和DQE(量子捕獲效率)來衡量的,DQE又是其主要的衡量標準,它表征著成像系統的劑量效率。綜合了系統對比度、圖像分辨率和噪聲的影響等諸多因素,并衡量輸入X射線的噪聲/信號到圖像的轉換性能。
DQE表示數字X線成像設備在把射線影像轉換成數字影像圖像信噪比所保留的比率。在X線影像領域,射線影像的噪聲是與曝光劑量密切相關的,DQE值同樣也表達了數字影像設備對入射劑量的利用效率。而曝光劑量又與相接觸的人員健康有著聯系,所以DQE值是檢測數字醫用X射線診斷設備重要的技術指標。只有合理的選擇DQE指標,才能獲得想要的圖像質量,使DR技術的應用更具有優勢。
像素尺寸
數字圖像由像素組成,像素由矩陣的形式排列成排或列。每一個像素都有它自己的灰階,從而形成圖像中我們可辨的不同的陰影。數字圖像的每一個像素的大小決定了圖像的空間分辨率,即我們可以在圖像中發現的最小物體。
總體來說,像素越多圖像分辨率越好,但不代表圖像質量越好,對于我們的成像系統,當像素高到超過某一點時,圖像質量反而不優,主要是由于像素越多,我們使用的感光元件越多,同樣大小的平板會使得感光元件越小,每個感光元件接收到的光電子信息就越少,所以不能形成很好的圖像。況且使用的感光元件越多,成本越高。而且硬件及投照條件都會影響圖像,所以不要一味的追求極高的像素。
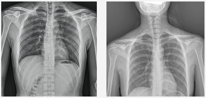
普愛動態DR臨床圖像
信噪比
數字圖像的信噪比,即圖像信號與噪聲的比例。一般來說,信噪比越大,圖像噪點越小,圖像質量越好即越清晰;相反,信噪比越小,圖像噪點越大,圖像質量越差,看起來越粗糙。但信噪比可通過改變投照條件來進行調節,增加投照條件(增加千伏或毫安秒)都會使信噪比增加,但如果投照條件越小,圖像信噪比就會越小,圖像噪聲越高,即看起來顆粒感大、較粗糙。
圖像后處理
DR系統具有強大的影像后處理功能,診斷醫生可以根據患者病癥的具體情況,調整圖像的對比度等參數,再通過一系列影像后處理技術(如圖像自動處理技術,邊緣增強清晰技術、放大漫游、興趣區窗寬窗位調節以及距離、面積、密度測量等豐富的功能),從中提取豐富可靠的臨床診斷信息,對疾病的診斷,特別是早期病灶的發現提供可靠的診斷依據。
DR圖像質量對比圖
當前國產DR都尤其重視圖像后處理系統的升級,如普愛醫療研發生產的多功能動態DR(型號:PLX8100),應用了公司自主研發的組織均衡技術,它是基于低灰度區擴展到高灰度區間的多層分級細節均衡算法。對于人體圖像,通過組織均衡后,圖像細節突出明顯,肺紋理末端細小血管及骨骼的紋理、肌肉層次等均可清晰顯示。
除此之外,會影響DR圖像質量的還有人為操作、機房環境、DR設備自身問題等因素。


