
-
手術機器人的導航和定位有什么區別
利用先進的機器人技術,配合高精度的圖像導航和定位技術,手術機器人能夠實現精確的手術操作和高效的治療效果。其中,定位與導航技術是機器人輔助手術中的核心組成部分,也是影響手術質量和效果的關鍵因素。...
發布時間:2023-10-11 00:00:00

-
C型臂X射線機的重要參數有哪些
一臺設備的好壞,很大程度上取決于它的一些重要參數。C型臂X射線機的重要參數有哪些呢?1.平板探測器的尺寸平板探測器的尺寸越大,能夠獲得的成像視野就越大。21CM×21CM的平板,一般只能成像3.5節腰椎。而像普愛PLX1...
發布時間:2023-09-22 10:02:02

-
數字胃腸機故障維修案例:DSI點片屏幕調不出圖像
數字胃腸機是用來檢查胃腸道疾病的X線檢查設備,當胃腸機設備出現故障時,首先要分析故障原因,然后再尋找排除故障的方法。今天南京普愛醫療為大家分享一則數字胃腸機故障維修案例:一臺國產數字胃腸機透視正常,DSI點片屏幕圖像區全...
發布時間:2023-09-07 15:36:04

-
移動dr招標參數包括哪些 醫院關注這些技術參數
公立醫院采購移動dr時,會根據臨床實際需求來進開展招標工作。移動dr的招標參數包括哪些?一般來說,醫院的移動dr招標會對以下這些技術參數提出要求。...
發布時間:2023-08-24 15:26:47

-
國內骨科手術機器人市場規模/現狀前景分析
骨科手術機器人在國內的市場規模有多大,又呈現出什么樣的特點?下面帶來詳細分析。現階段已有大量國內企業開始布局手術機器人產品,其中不少廠家以脊柱手術機器人為開發方向,如南京普愛醫療于2022年6月申報“PL300B脊柱外科...
發布時間:2023-08-15 16:37:09

-
2023介入醫師年會舉辦在即 普愛醫療與你相約南京
普愛醫療作為一家擁有20年行業沉淀的老牌影像企業,C形臂國內市場占有率多年位居行業領先地位,本次CCI 2023介入盛會,普愛醫療特攜移動式平板介入中C和手術機器人精彩亮相。...
發布時間:2023-08-04 16:02:28

-
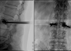
C臂機在打骨水泥時是怎么使用的(PKP手術記錄)
在打骨水泥時通常要借助C臂機來進行,具體是如何使用的呢?下面通過南京醫科大學第二附屬醫院的一則手術案例來深入學習。首先將患者處于俯臥位,然后利用普愛大平板C臂機擺位靈活的特點,快速定位椎弓根位置...
發布時間:2023-07-13 17:50:29

-
骨科手術機器人收費標準:導航功能2000元封頂
骨科手術機器人的收費標準是由設備的實際作用來定的,如骨科手術機器人只發揮了手術規劃功能,則不另立項收費;如骨科手術機器人發揮了導航定位功能,則在手術價格基礎上加收40%(2000元封頂);如完成了手術部分核心操作步驟,則...
發布時間:2023-07-04 18:11:23

-
骨科手術機器人的核心技術——定位導航技術
骨科手術機器人的核心技術是什么?答案是定位導航技術。這是技術發展的熱點領域,也是是骨科手術機器人企業重點布局的領域。在骨科手術機器人相關技術的專利申請中,定位導航技術的專利申請量占比超過三分之一以上,申請量次之的領域還包...
發布時間:2023-06-30 10:59:46

-
c型臂一般功率是多少 c臂機功率大有什么優勢
X射線功率的大小直接影響到X射線的穿透力和能量,因此c臂機功率的大小對影像質量和診斷準確性有著重要的影響。以下是c臂機功率大的幾點優勢:1.提高影像質量:高功率的X射線可以穿透更深的組織,從而獲得更清晰、更準確的影像。這...
發布時間:2023-06-01 18:50:50


