1.高逆變頻率高壓發生器搭載原裝進口球管
自產高逆變頻率高壓發生器(可達440KHz),功率80KW,體積小,射線輸出穩定,射線品質好,皮膚劑量低,成像效果好。(一般國產高壓發生器主逆變頻率均在30KHz以下)
智能化的高壓控制系統,并設有多種人體解剖攝影程序(APR),攝影條件依據患者的體型、體位和檢查部位自動設定,操作簡捷快速。
2. 進口非晶硅大尺寸平板探測器(17*17)
新一代非晶硅碘化銫結構的DR大尺寸平板探測器,轉化率高實現低劑量的數字圖像采集。
DR平板探測器與數字圖像處理器相結合,實現了低噪音、對比豐富的圖像,邊緣增強濾波裝置使圖像邊緣更加清晰銳利。
3.簡單高效的操作體驗
懸吊式機頭結合多角度自由移動攝影床、電動升降胸片架,輕松實現立/臥位各種數字化攝影及胸片拍攝,大大提升工作效率。
4.高標準數字化處理系統
工作站軟件的優勢:
1)軟件操作體驗感好,凡是鼠標點擊一次可以完成的操作,不用點擊兩次,操作便捷;
2)超十萬幅臨床數據庫保證了強大的預處理功能,90%以上的圖片無需后處理,即可直接用于診斷;
3)工作流程優化,門診病人和急診病人的分界面操作,充分考慮臨床的實際運用,急診模式可以保證病人直接先拍片,后完善信息,為急救贏得了時間;
4)“交響樂”內嵌圖像處理曲線,用戶可以根據自己觀片習慣任意調整曲線,達到自己的觀片要求。
5.遠程診斷、遠程維護
系統遠程維護,故障自我診斷并顯示故障代碼,快速準確判斷故障狀態,并具有自我保護功能;
無縫對接云PACS系統,信息共享、遠程診斷。
采用千兆網與DR探測器連接,圖像采集安全快捷;
國際Dicom3.0標準接口,方便聯入PACS系統,進行傳輸、打印;
具備多重自動保護及故障代碼提示功能,維修更方便。
軟件通過中國醫學裝備協會IHE系統測試DR設備四項必檢項目:SWF/MOD、PIR/MOD 、CPI/MOD、CPI/PC,提供同時包含上述四項的測試通過證書,方便醫院網絡化建設。
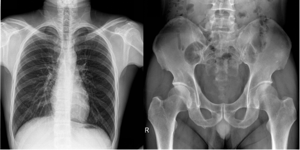
【固定懸吊dr-PLD7800E部分臨床效果圖】







